Перезвоните мне

Методы лечения

В какой бы медицинской помощи ни нуждался пациент, будь то диагностика, лечение либо профилактика, процесс начинается с предварительной встречи.

Любое лечение – это сложный процесс, включающий в себя выявление сути проблемы, определение возможных путей решения и проведение необходимых мер для ее устранения. Весь этот процесс осуществляется при полном нашем контроле, сопровождении пациента, его физической и духовной поддержке.

На предварительной встрече пациент, как правило, находится в состоянии стресса или волнения, как перед неизвестностью происходящего, так и перед предстоящим принятием важного решения.

Подготовка к этой встрече является неотъемлемой частью лечения, что очень важно, так как позволяет наладить контакт с клиентом, узнать больше о нем и об особенностях его заболевания, приближая нас к достижению общей цели — успешному лечению пациента.

Наша работа заключается в поддержке, консультации, направлении и сопровождении пациента, принимая во внимание не только его заболевание или клиническое состояние, но и психологический фактор.

Возможность помочь пациенту и подарить ему надежду, используя индивидуальный подход к каждому человеку, являются главными ценностями, лежащими в основе лечения.

Наши пациенты знают, что они в надёжных профессиональных руках.

Мы уверены, что информация – это важный инструмент, позволяющий человеку принимать правильные решения, касающиеся его здоровья.

Поэтому мы собрали для вас полезную информацию, которая позволит вам расширить свои знания и лучше понять особенности нашей работы.

Диагностика

Диагностика является неотъемлемой и важнейшей составной частью лечения. Качественно проведенная диагностика – залог успеха лечения.

Израильская медицина одна из самых продвинутых в мире, при этом многие эксперты особо отмечают её высочайшие диагностические возможности.

Медицина Израиля располагает самыми современными методиками диагностики и лечения широкого спектра заболеваний.

Необходимо помнить, что ранняя диагностика заболевания может спасти жизнь пациенту!

Врачи и специалисты Организации здравоохранения рекомендуют проходить ежегодную диагностику всем людям в особенности тем, кто достиг 40 лет и старше.

Комплексное обследование

Консультации профильных врачей-специалистов.

Лабораторные тесты (анализы) – даже простой анализ крови позволяет израильским медикам проверить сотни различных параметров, что несомненно сказывается на точности постановки диагноза и качестве лечения.

Функциональная диагностика – обследование всех систем и функций организма или какой-то определённой группы функций.

Тесты: эргометрический, дыхательный, аудиограмма, кардиостресс-тест и т.д.

Виды диагностик

  • Онкологическое обследование
  • Кардиологическое обследование
  • Невропатологическое обследование
  • Гастроэнтерологическое обследование (включая Гепатообследование): гастроскопия, колоноскопия ,сигмоидоскопия
  • Гинекологическое обследование (включая УЗИ, диагностическая гистероскопия, урогинекология, онкогинекология)
  • Урологическое обследование
  • Эндокринологическое обследование
  • Пульмонологическое обследование
  • Отоларингологическое обследование
  • Офтальмологическое обследование
  • Гематологическое обследование
  • Ортопедическое обследование
  • Ревматологическое обследование
  • Диагностическая и реконструктивная артроскопия
  • Дерматологическое обследование
  • Лабораторные исследования в полном составе, включая онкомаркеры
  • Исследования KRAS, Oncotype, Target NOW
  • Генетические исследования врождённых и онкологических заболеваний
  • Эргометрия
  • Цитология и гистология тканевых материалов

Визуальная диагностика

Продвинутая рентгенография, маммография

УЗИ, включая исследования сосудов с использованием Доплера — совершенно безопасный метод обследования, выявляет заболевания практически всех органов и тканей на самой ранней стадии (новообразования, камни, кисты).
УЗИ также применяется как метод диагностики неотложных состояний, требующих хирургического вмешательства, таких как острый холецистит, острый панкреатит, тромбоз сосудов.

Ангиография и коронарография – диагностика мальформации кровеносных сосудов, тромбозов, обструкций желчных и печёночных протоков, болезней сосудов, закупорка печеночных артерий. Для проверки используется контрастное вещество.

Эхокардиография, кардиостресс-тест, ЭКГ

КТ (Компьютерная томография), КТ-ангиография (компьютерная томография сосудов), КТ сердца (Cardioscan). – это метод, сочетающий в себе рентгеновские снимки в различных проекциях, позволяющий получить сверхточное изображение исследуемого органа в трехмерном виде.

Изотопные исследования — функций костей, органов и тканей.

ПЭТ-КТ и ПЭТ-МРТ – позитронно-эмиссионная и компьютерная томографии, сканер, предоставляющий мультимодальную визуализацию, включая параметры функциональности, анатомию и молекулярные процесс. Уникальная технология Time of Flight компании «Philips» позволяет завершить проверку в течении получаса (ранее пациент проходил две проверки отдельно ПЭТ-КТ и МРТ). Эффективно при диагностике злокачественных опухолей, оценке эффективности проводимого лечения, оценке состояния миокарда, диагностика болезней – Паркинсона, Эпилепсии, Альцгеймера.
1. Более точные результаты 2. Более высокое разрешение снимков 3. Низкая доза облучения пациента (на 30% ниже в сравнении с обычной дозой облучения) 4. Эффективнее — занимает меньше времени

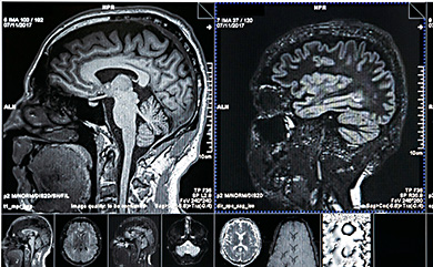
МРТ и МРА – магнитно-резонансная томография и магнитно-резонансная ангиография– безопасный метод исследования с помощью ядерного магнитного резонанса. Используется при поражениях головного и спинного мозга, заболеваний мягких тканей и костей, опухолей головы и шеи.

МРТ и УЗИ фьюжн-биопсия – новейшая технология диагностики простаты, основана на магнитно- резонансной томографии.

Ядерная медицина – общая сцинтиллография и сцинтиллографические процедуры на сердце.

Картирование головного мозга с целью диагностики болезни Паркинсона. Проводится с помощью томографии с использованием изотопной камеры «DaTscan», что позволяет диагностировать болезнь Паркинсона на начальной стадии.

Современная Гамма-камера – предназначена для визуализации и исследования кинетики радиофармпрепаратов во внутренних органах и физиологических системах организма пациента. Проводится путём сканирования всего тела пациента (скелета) и компьютерной томографии внутренних органов с целью получения трёхмерной визуализации для ранней диагностики онкологических, сердечно сосудистых заболеваний, проблем щитовидной железы, почек, печени и желчного пузыря, головного мозга, лёгких, сердца и другие. Преимуществом является её конструктивная и эксплуатационная простота.

Check-Up – расширенная проверка функций организма

Программа позволяет совместить отдых с полным клиническим обследованием. Это одна из самых распространённых услуг в сфере медицинского туризма.

ЧЕК-АП (от англ. Check – Up) – это комплексная диагностика организма, всестороннее обследование с применением современных диагностических методов. Обнаружение заболеваний на ранней стадии существенно увеличивает вероятность полного выздоровления, в особенности при выявлении онкологических патологий.

При составление индивидуальной программы ЧЕК-АП берутся в расчёт индивидуальные физические нагрузки пациента в течении последнего времени, вредные факторы инаследственность.
По окончанию проверок / тестов, врач – куратор определяет есть ли необходимость в расширении проверок, определяет группы риска пациента.

В результате составляется индивидуальная программа обследования, включающая в себя диагностику именно тех органов или групп органов, которые могут быть уязвимы у конкретного пациента.
Чем больше отделов организма будет обследовано, тем выше вероятность, что предполагаемое заболевание удастся вылечить на ранней стадии.

По данным статистики в 60 % случаев онкологические заболевания выявляются на 4-й стадии, когда помочь человеку уже невозможно.

ЧЕК-АП позволяет выявить заболевания в том числе и онкологические на ранней стадии, тем самым сохранить жизнь пациента.

Своевременное обращение за помощью может предотвратить многие другие заболевания.

Программа удобна тем, что в дополнение к стандартным наборам обследования, производится узкопрофильное обследование, позволяющее более глубоко исследовать необходимые группы органов и подготовить рекомендации по профилактике заболеваний, в группе риска которых находится пациент, а также лечению и оперативному вмешательству.

ЧЕК-АП занимает от нескольких часов до 2-х дней и очень подходит пациентам с ограниченными временными рамками.

Возможные варианты Check-Up

Check-Upбазовый

  • Консультация врача терапевта – опрос пациента, изучение истории болезни, физикальное обследование, дифференциальная диагностика. На основе полученной информации назначаются другие виды обследования. Анализы крови – общий анализ крови, определение биохимических показателей в полном (развёрнутом) виде, гормональный профиль, наличие либо отсутствие онкомаркеров, ревматоидный фактор, наличие С-реактивного протеина и иных маркеров патологических процессов в организме.
  • Анализы мочи – общий анализ мочи, специфические проверки при необходимости.
  • Дыхательные тесты
  • Консультация кардиолога – физикальное обследование, эргометрия при физических нагрузках.
  • Рентгенография груди
  • УЗИ и допплер исследование
  • УЗИ органов брюшной полости и малого таза.
  • Консультация офтальмолога – проверка остроты зрения сетчатки, измерение внутриглазного давления, осмотр глазного дна, тестирование полей зрения.
  • Консультация дерматолога – осмотр кожных покровов, определение предраковых поражений.
  • Консультация диетолога – на основании результатов анализов и анамнеза пациента, предлагаются рекомендации по правильному питанию и другие рекомендации.
  • Заключительная (итоговая) консультация – выдача пациенту медицинских документов с результатами проведённых исследований, заключения консультантов, планирование профилактики здоровья, либо лечения, либо оперативного вмешательства.

Check-Up онкологический

Выявление онкологических заболеваний, консультация онколога, радиолога, анализы крови и онкомаркеры крови – СЕА, Са 19.9, Са 125, Са 15.3, PSA, CPR, общий анализ мочи, КТ грудной клетки, органов брюшной полости и малого таза, СТ-PAT и МRI-PET, ревизия стёкол гистологии и иммунологистологии, МРТ с введением контрастного вещества, KRAS, Oncotype, Target Now, УЗИ щитовидной железы и дополнительные исследования/ тесты по необходимости.

Check-Upдля женщин

Диагностика и выявление женских заболеваний. Включает консультацию гинеколога (осмотр, мануальное обследование, взятие мазка из влагалища и цервикального соскоба РАР, вагинальное УЗИ малого таза, биопсия с гистопатологией по показанию), консультацию маммолога (маммография для женщин старше 40 лет, УЗИ молочных желёз у пациенток до 40 лет), акушера гинеколога, кардиолога, анализы крови (развёрнутый анализ крови, полный биохимический анализ крови, онкомаркеры, функция щитовидной железы, CPR), общий анализ мочи, УЗИ щитовидной железы и органов брюшной полости — малого таза, биопсия молочных желез с гистопатологией и иммуногистологией, компьютерная томография органов брюшной полости и малого таза по показанию, МРТ молочных желез по показанию, остеоденситометрия для исследования плотности костной ткани (для женщин старше 40 лет имеющих повышенный риск развития остеопороза).

Check-UPспецифические исследования

    Проводятся при необходимости или по желанию пациента. Это специфические анализы, тесты и проверки исключительно по показаниям специалистов и их необходимостью для постановки диагноза, последующей профилактики или лечения.

  • Гастроэнтерологический ЧЕК-АП – исследование пищеварительного тракта. Включает консультацию гастроэнтеролога, проктолога, диетолога, развёрнутый анализ крови и мочи, анализ на скрытую кровь, мышечные волокна, стеарин, гастроскопия, колоноскопия, УЗИ органов брюшной полости и малого таза, биопсия по показанию, компьютерная томография органов брюшной полости и малого таза по показанию.
  • Кардиологический ЧЕК-АП – исследование деятельности сердечно-сосудистой системы. Включает консультацию кардиолога, сосудистого хирурга, кардиохирурга, проведение развёрнутого анализа крови, ЭКГ, УЗИ сердца, эргометрию, суточный мониторинг (Холтер), УЗИ сосудов шеи и нижних конечностей по показанию, диагностическая коронография по показанию, изотопное исследование функции сердца.
  • Нефрологический/Урологический ЧЕК-АП — исследования мочевыделительной и половой системы. Включает– консультацию нефролога/уролога, по показанию в соответствии с проблемой назначаются специфические анализы крови и мочи, включая PSA и посев мочи, УЗИ органов брюшной полости и мочеполовой системы, внутривенная урография, цистография, сцинтиграфия почек, урофлуометрия, изотопное исследование костей, цистоскопия, изотопное исследование функции почек, биопсия предстательной железы с гистопатологией, компьютерная томография органов брюшной полости и малого таза, TRUS.
  • Оториноларингологический ЧЕК-АП – выявления ЛОР заболеваний и патологий слуха. Включает консультацию ЛОР специалиста, рентген пазух лица, CT головы и пазух, компьютерная томография и МРТ головы лица и шеи по показаниям, аудиограмму, тимпанометрию, ларингоскопию, БЕРА.
  • Офтольмологический ЧЕК-АП – выявление патологий зрения. Консультация офтальмолога, оптометриста, определение остроты зрения и рефракции, измерение внутриглазного давления, исследование сетчатки и глазного дна, пахиметрия (измерение толщины роговицы), УЗИ глаза, флуоресцентные снимки глаз, компьютерная кератотопография (ОСТ), эхобиометрия (определение длины глаза и размеров хрусталика)
  • Невропатологический ЧЕК-АП – диагностика неврологической патологии. Включает консультацию невропатолога, врача клиники «боли», специфические анализы, электроэнцефалограмма (ЭЭГ), электромиографическое исследование мышечной проводимости (ЭМГ), CT ангиография сосудов головы и шеи с контрастным веществом, транскраниальная допплерография, компьютерная томография и МРТ головы/ позвоночника по показаниям, метод вызванных потенциалов.
  • Эндокринологический ЧЕК-АП – выявление гормональных нарушений. Включает консультацию эндокринолога, специалиста по сахарному диабету, расширенный анализ крови с гормональным профилем, УЗИ органов брюшной полости, УЗИ щитовидной железы, биопсию щитовидной железы по показанию, сцинтиграфию костей на проверку остеопороза, компьютерную томографию органов брюшной полости, изотопное исследование функции гормонопродуцирующих органов, МРТ головы по показанию.
  • Пульмонологический ЧЕК-АП – обследование дыхательных путей. Включает консультацию пульмонолога, торакального хирурга, анализы крови, спирометрия – исследование дыхательной функции, рентген лёгких, компьютерную томографию органов грудной клетки по показанию, бронхоскопию по показанию, пункцию лёгких с биопсией и гистопатологией FNA по показанию.
  • Ортопедический ЧЕК-АП – обследование опорно-двигательного аппарата. Консультация ортопеда, травматолога, спинального хирурга, анализы крови и мочи, рентгенография костей (динамическая), компьютерная томография и МРТ позвоночника, МРТ суставов, изотопное исследование костей, биопсия, диагностическая артроскопия.
  • Генетический ЧЕК-АП – выявление генетических патологий. Генетические исследования, консультация специалиста-генетика, рекомендации, лечение.
  • ЧЕК-АП для беременных — обследование на различных сроках беременности.